Hayat Kurtaran MR Cihazı Saf Sevgiyi de Tespit Etti

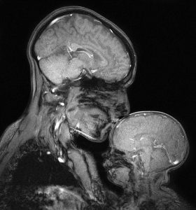
Sinirbilimci Rebecca Saxe’nin 2015’te 2 aylık oğlu Percy’yi kucaklayıp şefkatle öptü, klasik anne-çocuk portresinde yurekleri ısıtan bir görüntü ortaya çıktı.
Bir anne ve çocuğun birlikte çektiği ilk MR görüntüsü bu.
MIT’de bilişsel sinirbilim profesörü Saxe, beyinde düşünce ve dilin nasıl inşa edildiğini inceliyor. Özellikle çocukluk döneminde bu yetenekleri nasıl kazanıp geliştirdikleri konusunda çalışmalar yapıyor.
Bilim insanı Saxe özellikle beynin ayrıntılı resimlerini sağlayan manyetik rezonans görüntüleme sayesinde çocukların beyinleri konusunda çalışmalar yapıyor. bu çalışmalar için Laboratuarının MRI cihazlarını kullanıyor.
Saxe ilk çocuğunu doğurduktan sonra, beyninin gelişmesini izlemek için küçük çocuğuyla birlikte tarayıcının içinde birkaç saat uzandı.
“Her anne gibi ben de bebeğimi delicesine seviyordum bu durumda, beyniminizin nasıl değişimler geçirdiğini izlemeliydim”dedi.
“Anne olma deneyimim ve sinirbilimci olma deneyimimin aniden ve derinden iç içe geçmiş olduğunu hissettim.”
Bu şekilde, bebeği ile birlikte MR görüntüsünü almayı düşünmeye başladı. Tarayıcısı iki kişinin fotoğrafını çekecek şekilde yapılandırılmadığından, nasıl yapılacağını bulmak için çok sayıda teknisyenlerle görüşmeler yaptı.
Saxe nihayet planını, ikinci oğlunu doğurduktan sonra Nisan 2015’te denedi. İki gün boyunca, o ve Percy, doğru görüntüyü üretmek için birkaç saat boyunca tarandı. (MRG radyasyon kullanmıyor ve bilinen zararlı bir etkisi yok.)
“Yapması çok, çok zor” dedi. “Resmi elde etmek için birkaç dakika basılı tutmanız gerekir. Küçük bir bebeği ikna etmek kolay olmadı.”
Makine çok gürültülü, bu yüzden Saxe kulak tıkaçları takarken, Percy’nin kulaklarının üstünde minik yastıkları vardı. İyi çalıştılar: Gördüğünüz resimde uyuyor.
Alınan tüm görüntülerin en iyisi olarak seçilen bu taramayı üretmek için her gün 25 girişimde bulunuldu.
“Güzel olduklarını düşündüm. Saxe, gözlerimi çıkan görüntüden alamadım ”dedi.
Bu, anne ve çocuğun bağını gösteren ilk manyetik rezonans görüntüsü (2015).
Bebeğin beyni daha yumuşak ve daha karanlık çünkü önemli ölçüde daha az beyaz maddeye sahip. Beyaz madde, beyninizdeki mesajları ileten tellerin yalıtımı olan miyelinden oluşyor.
Öpüşme, beyninizde oksitosin hormonu patlaması da dahil olmak üzere kimyasal bir reaksiyona neden oluyor. Oksitosin “biz onlar” hormonudur – “biz” insanlar için, aynı zamanda bizi zaman zaman daha etnosentrik ve daha az toleranslı kılan insanlara yöneliktir.
Öpüşmek beynin ödül sistemini harekete geçiriyor; bizi iyi hissettiren dopamin salgılıyor. Ayrıca anneleri bebeklerle ve romantik partnerlerle birbirine bağlayan vazopressin salgılıyor. Ayrıca ruh halimizi düzenlemeye yardımcı olan serotonin salınıyor.






57 Comments